Blue Phantom BPA304 Arm Ultrasound Training

Overview
Giving you the confidence only experience can offer™
Congratulations on the purchase of your Blue Phantom™ ultrasound model(s) for hands-on training. Every product we manufacture at Blue Phantom™ is specifically designed to be the most realistic and ultra-durable ultrasound simulation phantoms available anywhere. Our high standards for quality manufacturing and design guarantee that you receive only the absolute best.
About Blue Phantom™
Blue Phantom™ brings you the most realistic and durable hands-on ultrasound training models available anywhere. At Blue Phantom™ we know that learning to use ultrasound requires practice. You gain confidence and skill through experience. That is why we offer you the best ultrasound simulation training available.
Blue Phantom™ Warranty
Blue Phantom™ takes pride in its quality design and manufacturing standards. Our products are warranted to you by Blue Phantom™ for one year from the date of purchase against defects in workmanship and materials. During the warranty period, a defective part or product will be replaced either with a new or reconditioned part or product, depending on the availability at the time.
This warranty covers normal consumer usage and does not cover damage incurred through use not consistent with the product design. Failure that results from alteration, accident, misuse, vandalism, or neglect is not covered under this warranty. This warranty does not extend to any products that have been used in violation of written instructions.
Product Cautions
Please read this instruction guide carefully. Do not begin using this model until you fully understand these safeguards and have read the User Guide in its entirety.
Important Safeguards
- Read Instructions – All safety and operating instructions should be read before the unit is operated.
- While all parts of this User Guide are important, the red flag that you see to the left denotes especially important content. Please familiarize yourself with all of the content prior to using your training model or damage to the model can occur.
- Retain Instructions – The safety and operating instructions should be retained for future reference.
- Heed Warnings – All warnings in the operating instructions should be adhered to.
- Follow Instructions – All operating and maintenance instructions should be followed.
- Weight Warning—Product weight is approximately 20lbs (9kg).
- Care must be taken to place the model in a position in which it will not fall off of the bed or surface, as this may cause injury.
- Accessories – Do not place this unit on an unstable cart, stand, tripod, bracket, or table. The unit may fall causing serious injury to a child or adult, and serious injury to the unit.
- CAUTION: Please use extreme care when using needles and sharp objects as to not accidentally injure yourself during training.
Blue Phantom™ Customer Support
Blue Phantom™ is committed to providing you with superb products and uncompromising customer support. Should you require assistance feel free to contact us directly at:
Telephone: (425)881-8830
Email: [email protected]
Web: www.bluephantom.com
Product Information
Blue Phantom™ Arm Ultrasound Training Models
- PICC, I.V. and Arterial Line Vascular Access Arm (BPA304)
Included in this Package
- Blue Phantom™ Red Ultrasound Refill Solution (BRS180-Red)
- Blue Phantom™ Blue Ultrasound Refill Solution (BRS181-Blue)
- User Guide and Utilities CD
Additional Items Required for Training
- For optimal performance, please use 18-21 gauge sharp and unbent needles and associated catheter kits (please see Chapter 4: Utilizing Your Training Model—Using
Needles and Catheters section on page 9 of this User Guide)
- Ultrasound system configured with an appropriate transducer for ultrasound guidedvascular access procedures
- Ultrasound gel
Optional Accessories for Your Training Model
- Blue Phantom™ Red Ultrasound Refill Solution (BRS180-Red)
- Blue Phantom™ Blue Ultrasound Refill Solution (BRS181-Blue)
Introduction to Your Training Model
This model is intended as a platform for ultrasound guided vascular access hands-on technique training. The model is designed to be extremely realistic, mimicking the feel and imaging characteristics associated with ultrasound guided vascular access procedures in the upper arm, lower arm, or both upper and lower arm. Blue Phantom’s self-healing design provides you with superb durability. In order to get the most out of your training platform, it is important that you properly care for your model.
Quick Facts about Your Training Model

- Excellent platform for training clinicians in the Psych-motor skills associated with ultrasoundguided vascular access procedures
- Model comes with a base platform with thereplaceable arm insert connected to thepermanent chest piece
- The replaceable arm insert is the only piece thatcan be punctured
- Models configured with the following VascularAnatomy: Cephalic Vein, Radial Vein, Basilic Vein,Ulnar Vein, Medial Cubital Vein, Brachial Artery,Radial Artery, and Ulnar Artery
- The chest piece contains the Superior Vena Cava &Subclavian Vein vascular anatomy (To verifycatheter placement)
- Model must always stay on the black thermoformplatform
- Positive fluid offers users immediate feedback when vessels are accurately accessed
- Superb ultrasound imaging characteristics; experience the same quality you expect fromimaging patients in a clinical environment
- Made in USA
Utilizing Your Training Model
Anatomy of Your Training Model
- Remove your training model from its shipping container and make sure that you havereceived all of the items listed in Chapter 3: Product Information—Included in this Packagesection on page 5 of this User Guide. If you did not receive one of the listed items, or if youreceived the wrong items, please contact Blue Phantom™ Customer Support immediately:
Telephone: (425)881-8830
Email: [email protected]
Web: www.bluephantom.com - Familiarize yourself with your training model.
Blue Phantom™ ultrasound training models are constructed using our patented simulated ultrasound tissue and mimics the imaging characteristics to that of human tissue. Care must be taken to not place the model on rough surfaces as the model can take on the characteristics of that surface. Do not place objects
under the model as the tissue is soft and will conform to the shape of the object.
Your training model comes pre-filled with Blue Phantom™ Red Ultrasound Refill Solution (BRS180-Red) and Blue Phantom™ Blue Ultrasound Refill Fluid (BRS181-Blue). If you suspect that your model is low on fluid, please refer to Chapter 4: Utilizing Your Training Model—Maintaining Optimal Fluid Levels section on page 10 of this User Guide.
Anatomy of Your Training Model (continued)
Your Blue Phantom™ Arm ultrasound training model is configured with one replaceable arm ultrasound tissue inserts as well as a permanent chest piece used to verify catheter placement via ultrasound.

Using Your Training Model
- Remove your Blue Phantom™ from its packaging and place the platform on a clean, hard, flat surface.
- This model is designed for ultrasound guided technique training.
You may mark your model with a dry erase marker at your own risk. Blue Phantom™ recommends testing the dry erase marker on the underside of the tissue insert prior to regular use. If satisfied with the test mark, you may utilize the dry erase marker during training. Immediately following use, gently remove the dry erase marker using a damp paper towel. DO NOT leave dry erase marker on your model for more than one hour or permanent damage to your model may occur. - When utilizing ultrasound guidance, place ultrasound gel on the model or on the ultrasound transducer in adequate quantities so that the probe slides effortlessly across the surface of the model. Add more gel as necessary.
- Adjust the ultrasound system controls per the manufacturer’s instructions, increasing and decreasing the depth and gain controls until the desired image is obtained.
If you intend on guiding sharp objects into the phantom, never place the model in a location where you might accidentally puncture yourself.
Using Needles and Catheters
- For best performance, we recommend that you utilize new, sharp, unbent 18-21 gauge needles and associated catheter kits when accessing the structures in the model; you may use up to 7-French Triple-Lumen catheters.
- Do not use any needle larger than 18 gauges or permanent damage to your model may occur.
- Smaller bore needles (>21 gauge) can bend during use and damage your model’s simulated tissue.
- Aggressive repositioning of needles rather than removing and repositioning can cause stubborn or permanent needle tracks due to the needle tip dragging through the simulated tissue.
- Dull needles may also cause permanent damage to the tissue. It is important to replace needles approximately every ten cannulations.
Accessing Simulated Blood Vessels
- Users can create a pulse in the ulnar and radial arteries in the wrist only by lightly pressing the hand bulb to differentiate vessels from artery. Veins are collapsible with light pressure from transducer.
- Users can remove fluid after the vessels have been properly cannulated to confirm needle placement. Please note that any fluid withdrawn from the vessel will require refilling.
Lack of fluid will result in diminished ultrasound image. For instructions on refilling your model, please refer to Chapter 4: Utilizing Your Training Model—Refilling Your Training Model on page 10 of this User Guide.
Maintaining Optimal Fluid Levels
The Blue Phantom™ Ultrasound Refill Solution contained within the model is specially formulated to allow for optimal performance. It is important to maintain a good fluid level within your ultrasound training model. Through normal repeated use, users can experience a reduction in the amount of fluid, resulting in small amounts of air within the model. This is directly dependent upon the amount of fluid removed during simulation training.
WARNING: Using fluid other than that supplied by Blue Phantom™ will void your warranty. Using other fluid will cause changes in the imaging qualities of the model, reduce the ability to thread catheters, and cause fungal or bacterial growth within the model. DO NOT dilute the Ultrasound Refill Solution contained within your model.
The simplest way to maintain optimal fluid levels in the vessels is to have users inject the accessed fluid back into the model after accessing the targeted vessel. This is limited to users that are not performing the entire catheter placement procedure.
CAUTION: Use refill solution only as directed. Not intended for human consumption. If accidental consumption occurs, drink a glass of water and consult a physician. May irritate eyes; flush well with water. May contain pigments that can stain clothing; wash immediately with cold soapy water. Keep out of reach of children.
How to Determine if Your Model Requires Refilling
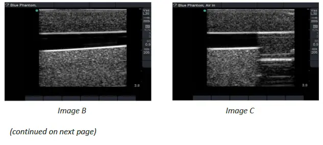
Ultrasound is required to determine if your model requires refilling. An optimally filled vessel will be identified by the presence of a black echo-free lumen (refer to Image B below). A low fluid environment is identified by the inability to visualize the vessels during normal imaging situations (refer to Image C below). This is due to the presence of air within the vessels, which will reflect all of the sound energy.

Refilling Your Training Model
Refilling your Blue Phantom™ Arm ultrasound training model is a simple process that will take approximately 15 minutes. Please follow the directions below.
Items Required
- Empty syringe
- Blue Phantom™ Red or Blue Ultrasound Refill Solution
Directions
- To refill the arterial line disconnect the hand bulb by pressing the silver quick disconnect button on the side. Pull the port within the tube out and attach syringe to tubing filled Red Ultrasound Refill Solution. Slowly pull back on syringe to aspirate air and then move syringe forward in 5-10mL increments.
- For the venous line, hold up the tubing, unscrew blue cap, and connect the syringe filled with Blue Ultrasound Refill Solution. Slowly pull back on syringe to aspirate
air and then move syringe forward in 5-10mL increments. If venous side is completely empty, have one person elevate the chest gently making sure to keep the connection
intact with arm piece so tubing is directed up towards ceiling and continue as mentioned above. - If you still see air present in the junction between arm and chest piece elevate the platform at a 45 degree angle. One person may need to hold the arm piece and another holds the chest piece to keep it on platform.
- With the tissue insert positioned upright, gently tap or “burp” the model for 60 seconds. This will allow the air within the vessel to migrate to the top of the vessel.
- Repeat this process until the targeted vessel is full and all of the air has been purged.
- Once the tissue insert has been refilled, simply place it back into the recess in the base platform of your training model.
Overfilling the Vessels
It is possible for you to overfill the model if you infuse too much fluid into the vessels during the refill process. It will be obvious when the vessels are overfilled when small dimples of ultrasound refill solution appear on the surface of the model at previous cannulation sites. Simply removing excess fluid and air from the vessels will alleviate this issue. Overfilling the vessels is unlikely to cause any permanent problems with your model but please take care to avoid overfilling.
Caring for Your Training Model
Proper Use and Care
Proper care of your training model will result in tremendous utility. Please heed all instructions contained in this User Guide when using your model.
Swapping Tissue Inserts
Swapping tissue inserts in and out of your Blue Phantom™ Arm ultrasound training model is a simple process that will take approximately 5 minutes.
Items Required for Swapping Arm Inserts
- Replacement Arm Ultrasound Tissue Insert
Directions
- Place your Arm ultrasound training model and platform on a clear workspace.
- Gently pull the arm ultrasound tissue insert from the connecting chest piece.
- Retrieve the new arm tissue insert and line up the connectors and gently connect them together.
Cleaning Your Training Model
After each use, your training model can be easily cleaned using mild soapy water. For best results, mix one part liquid soap with one part tap water. Gently rinse the model with the soapy water to remove any accumulated debris.
Use a clean, soft, lint-free cloth to dry after cleaning. Dry the model using a dabbing motion, rather than wiping or rubbing the model.
Wiping or rubbing the surface aggressively can result in scuffing the simulated tissue.
Storing Your Training Model
The model can be stored at room temperature either in the open and must be kept on the black thermoform platform.
Do not store the model in contact with other objects. This can cause the simulated tissue to become deformed.















