Logiq P6 3D Ultrasound Machine
User Manual
LOGIQ P6
Performance within reach.
Achievecertainty across more applications.
You need high-quality images every time you can, no matter where you are. Now you can achieve clinical confidence with a system that’s small enough to go almost anywhere yet strong enough to give you the exceptional imaging you need.
Introducing LOGIQ® P6. Its combination of performance and versatility enables you to meet the needs of patients across multiple clinical settings. With advanced detail resolution and color flow, you can easily distinguish between cystic and solid lesions, especially in small areas like the thyroid, breast, and ovary. And the increased detail and contrast resolution help identify even the most challenging pathologies. These capabilities help to optimize your ability for earlier diagnosis.
Whether it’s visualizing vessels that have multiple velocities or minute vessels in the kidney, LOGIQ P6 makes it easy for you to scan patients from the NICU to the geriatrics. And with raw data capability, you can do your postprocessing analysis later, minimizing your interaction time with fragile patients.
Finally, there’s an ultrasound system that empowers you with certainty wherever you need to go and no matter who you need to scan.
Varicose vein displayed using Easy 3D; additional clinical information about the C-plane and the course of the vessel can be collected while acquiring a 3D image

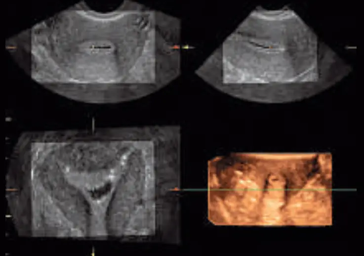
3D volume acquisition of the uterus using the 4DE7C probe during saline Infusion Sonography (SIS) procedure

Capture images with clarity.
It’s simple. A clear image leads to the most confident decision. That’s why LOGIQ P6 is designed using innovative leadership technologies from GE Healthcare. Starting with an enhanced beamformer for deeper penetration, higher resolution, and better color flow sensitivity, you’ll find these advancements in imaging and more:
Speckle Reduction Imaging (SRI). Heighten your visibility of organs and lesions with high-definition contrast resolution that suppresses speckle artifacts while maintaining true tissue architecture.
CrossXBeam™. Enhance tissue and border differentiation with real-time spatial compounding acquisition and processing.
Real-time 4D Imaging. Acquire and constructs volumetric images, displaying multiplanar views of the anatomy. See anatomical relationships not visualized otherwise.
DualBeam. Maintain high frame rates while using high line density, even in abnormal settings. Increase temporal resolution in fast-flow cardiac and vascular studies.
Harmonics. Increase resolution and cystic clarity with a combination of coded harmonics and Phase Inversion Harmonics.
![]() | ![]() |
| Sagittal prostate showing cystic structure imaging with the E8CS probes using fundamental imaging and SRI | Apical four-chamber view of the adult heart with color Doppler using the 3S probe |
![]() | ![]() |
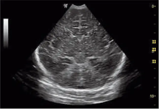
| Ascites, liver, and gallbladder stones are displayed together using the 5CS probe and a combination of Phase Inversion Harmonics and SRI | Neonatal head exam imaging with the 8C probe using CrossXBeam, SRI, and harmonics |
Diagnose with confidence.
![]() | |
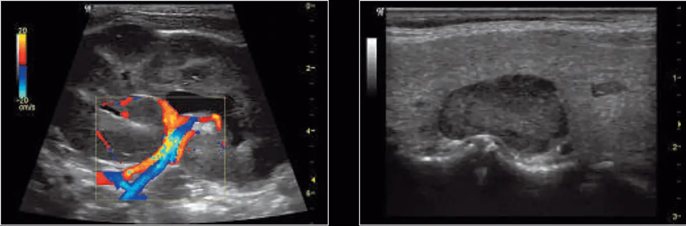
| Renal artery and vein displayed using the 11L probe and a combination of virtual convex, fundamental imaging, and SRI | High-frequency scan of parathyroid and irregular thyroid tissue; Phase Inversion Harmonics and SRI used to show maximum homogeneity and detail resolution |
![]() | |
| 11L sagittal vein with color Doppler using the 11L probe with Phase Inversion Harmonics, CrossXBeam, and SRI features | An internal carotid artery with color and pulse wave Doppler using the 11L probe with Coded Harmonics, CrossXBeam and SRI |
Maximize efficiency with portability.
LOGIQ P6 was designed with your mind as you travel from room to room and floor to floor, scanning bedside and sometimes in challenging spaces. At any given moment, you need to be prepared for any patient. Simply put, you need portability for productivity. And the new LOGIQ P6 deliversboth.
With its surprisingly lightweight and small footprint, LOGIQ P6 moves with ease. And the substantial monitor is on an articulating arm making it effortless for you to glide the screen into the position that’s best for you, which makes a big difference in minimizing eyestrain after a long day of viewing.
Even when it’s the little things that matter most, LOGIQ P6 delivers. A convenient drawer takes the hassle out of transporting items, and a footrest helps ease the stress of a full scanning schedule.
It’s big on service and support, too.
LOGIQ P6 may come in a small package, but nothing was overlooked. We know you need more than just confidence in the equipment you use. You need confidence that you have the service and support you need when you need it. That’s why you’ll receive:
- In-depth, on-site applications training
- Assistance by one of the best-trained and most widely deployed ultrasound service teams in the industry
- Acertification program that gives field engineers professional development and productivity skills they need to better service your systems
- Proactive monitoring, real-time support, and training — all available through InSite™ ExC

©2008 General Electric Company – All rights reserved.
GE Medical Systems Ultrasound &PrimaryCareDiagnostics, LLC, a general Electric company, doing business as GE Healthcare.
General Electric Company reserves the right to make changes in specifications and features shown herein, or discontinue the product described at any time without notice or obligation. Contact your GE Representative for the most current information.
GE, GE Monogram, CrossXBeam, InSite, and LOGIQ are trademarks of General Electric Company.
healthcare-imagined
GE is dedicated to helping you transform healthcare delivery by driving critical breakthroughs in biology and technology. Our expertise in medical imaging and information technologies, medical diagnostics, patient monitoring systems, drug discovery, and biopharmaceutical manufacturing technologies is enabling healthcare professionals around the world to discover new ways to predict, diagnose and treat disease earlier. We call this model of care“Early Health.” The goal: is to help clinicians detect disease earlier, access more information, and intervene earlier with more targeted treatments, so they can help their patients live their lives to the fullest.Re-think, Re-discover,Re-invent,Re-imagine.
| UNITED KINGDOM GE Medical Systems Ultrasound 2, Napier Road BedfordMK41 0JW T441234 340881 F441234 266261 | EUROPE GE Ultraschall Deutschland GmbH Beethovenstr.239 42655 Solingen Germany T49212-28 02-0 F49212-28 02 28 | AMERICAS GE Healthcare 9900 Innovation Drive Wauwatosa, WI 53226 U.S.A. T1888 202 5582 | ASIA GE HealthcareClinical Systems ASIA 1105-1108 Maxdo Center 8XingYi Road, Shanghai 200336 T86215257 4640 F86215208 0582 |
www.gehealthcare.com
300-08-U017E Printed in Austria


























