GE Healthcare JB03442XX Vivid Ultrasound Systems User Manual
Introduction
The need for a new quantification tool, specifically designed for the Tricuspid Valve (TV), stems from thee main reasons:
- TA geometry is very complex, elliptical and saddle-shaped, that is difficult to manually quantify on slices obtained by 2 echocardio graphy (2DE) or on multi-planar reconstruction methods (MPR or FlexiSlice) by 3DE;
- TA is a highly dynamic structure, with substantial changes in size and shape from systole to diastole, which are virtually impossible to fully characterize and measure frame-by-frame, unless a semi-automated tracking tool, able to follow its changes in three dimensions throughout the cardiac cycle, is being used;
- the functional anatomy of TV apparatus (including TA, leaflets, subvalvular apparatus and right chambers) is completely different compared to the mitral valve (MV) apparatus. Consequently, the quantification tools specifically designed for MV and currently available onboard are not appropriate and cannot be “adapted” to quantify also the TV, the latter requiring a dedicated tool.
4D Auto TVQ is a new semi-automated tool dedicated for the quantification of tricuspid valve (TV) morphology based on transthoracic or transesophageal 3D echocardiography (3DE) data sets.
4D Auto TVQ allows a rapid semi-automated detection of the surface of the leaflets of the TV in a single systolic reference frame and of the TV annulus (TA), which is tracked throughout the cardiac cycle.
Methods
TV segmentation is performed using a multistep approach.
First, from the user-identified landmarks of the TA on a reference frame, a surface representing the endocardium is positioned in the data and deformed to fit the TA contour. From this surface, a three-dimensional TA model is extracted for the reference frame and then tracked throughout the cardiac cycle. The tracking of the TA is performed by the deformation of the threedimensional annular model and is driven by feature-tracking in nearby frames. The tracking is represented as a state estimation problem and solved with an extended Kalman filter(1).
Then, if the reference frame is during systole (i.e. when leaflets are closed), the TV leaflets surface is also detected for this frame. Using leaflet edge detection, a Doo-Sabin surface(1) (which boundary corresponds to the previously described TA) is deformed in order to fit the three-dimensional configuration of the TV leaflets at the reference frame. The detected annulus and leaflets surface can be manually edited by the user and, after their approval, the following TV measurements are automatically computed (see below).
Definition of parameters obtained using 4D Auto TVQ
ANNULUS
TV measurements by 4D Auto TVQ analysis tool
Area 3D
Definition/calculation
Area of the non-planar surface (yellow surface) delineated by the tricuspid annulus three dimensional contour
Measurement unit cm2
Area 2D
Definition/calculation
Area of the tricuspid annulus (yellow surface) projected on the two-dimensional valve plane
Measurement unit m2
Definition/calculation
Area Change: Percent change of the projected tricuspid annulus area (Area 2D) between systole and diastole
Measurement unit %
TV measurements by 4D Auto TVQ analysis tool
Perimeter
Definition/calculation
Length of the 3D contour (yellow) representing the tricuspid annulus circumference.
Measurement unit cm
4Ch Diameter
Definition/calculation
Distance between septal and lateral tricuspid annulus hinge points (yellow straight line) on 4-chamber long axis view at reference frame.
Measurement unit cm
4Ch Diast Diameter
Definition/calculation
Maximum distance between septal and lateral tricuspid annulus hinge points (yellow straight line) on 4-chamber long axis view during diastole
Measurement unit cm
2Ch Diameter
Definition/calculation
Distance between anterior and posterior tricuspid annulus hinge points (yellow straight thick line) on 2-chamber long axis view at reference frame
Measurement unit cm
Major Axis
Definition/calculation
Longest diameter of an ellipse that fits the tricuspid annulus shape at reference frame
Measurement unit cm
Major Diast Axis
Definition/calculation
Longest diameter of an ellipse that fits the tricuspid annulus shape during diastole
Measurement unit cm
Minor Axis
Definition/calculation
Shortest diameter (orthogonal to its longest diameter) of an ellipse that fits the tricuspid annulus shape at reference frame
Measurement unit cm
Sphericity Index
Definition/calculation
Percent ratio between the shortest and the longest diameter of an ellipse that fits the tricuspid annulus shape at reference frame
Measurement unit %
Excursion
Definition/calculation
Absolute longitudinal displacement of the annulus during cardiac cycle
Measurement unit ml
LEAFLETS
TV measurements by 4D Auto TVQ analysis tool
Coaptation Point Height
Definition/calculation
Height of the user-placed coaptation point to the 4-chamber diameter of TV annulus (yellow vertical line)
Measurement unit cm
Tenting Volume
Definition/calculation
Volume between the leaflets and the TV annulus surface
Measurement unit ml
Max Tenting Height
Definition/calculation
Peak distance of the valve surface to the TV plane (yellow vertical line)
Measurement unit cm
Validation
Measurements using 4D Auto TVQ have been verified against manual MPR measurements. Measurement accuracy and range for each measurement are reported in the User manual. Clinical studies are ongoing.
Normal Values(8)
Three-dimensional data sets of 254 healthy subjects (113 men, mean age 47±11 years) from our 3DE Normal database(7) have been analyzed using 4D Auto TVQ and results were communicated at ESC Congress 2020(6).
Briefly, the feasibility of quantitative analysis with our normal database was 90%.
TA area, perimeter and diameters reached their minimum value in mid-systole, then increased during early-diastole, and reached a maximum value in end-diastole (as previously reported)(7). Normal TA area at mid-systole was 8.3±2.0 cm2 and at end-diastole was 9.6±2.1 cm2 and TA perimeter was 10.4±1.3 and 11.2±1.2 cm, respectively.
Major TA diameter (38±4 mm) was larger than 4-chamber diameter (33±4 mm). TA parameters significantly correlated with BSA (r=0.42-0.58, p<0.001) and were significantly larger in men than in women, independently of BSA (p<0.0001), indicating that reference values for 4D TA metrics should be sexspecific and indexed to BSA (Table 2).
Notably, TA diameter measured in 4-chamber by 2DE was significantly smaller than its corresponding 4-chamber diameter analyzed semi-automatedly by 4D Auto TVQ tool (29±5 mm vs 33±4 mm, respectively, p<0.0001). TA diameter remained significantly underestimated by 2DE also when the measure-ment was performed on the 4-chamber view optimized for the RV (RV-focused view): 30±5 mm vs 33±4 mm, respectively, p<0.0001.
Reference values for indexed TV annulus parameters at midsystole and end diastole analyzed using 4D Auto TVQ are shown in Table 1.
| Men (n=99) | Women (n=129) | |||
| Mid-systole | End-diastole | Mid-systole | End-diastole | |
| TA 3D area (cm2/m2) | 5.1±1.1 | 5.8±1.2 | 4.5±1.0 | 5.3±1.0 |
| TA perimeter (cm/m2) | 6.1±0.9 | 6.5±0.8 | 5.8±0.8 | 6.3±0.9 |
| TA 4-ch diameter (mm/m2) | 18±3 | 20±3 | 17±2 | 18±2 |
| TA 2-ch diameter (mm/m2) | 18±5 | 20±3 | 17±4 | 19±2 |
| TA major diameter (mm/m2) | 20±3 | 22±3 | 19±2 | 21±2 |
| TA minor diameter (mm/m2) | 17±4 | 18±3 | 16±2 | 17±2 |
| TA sphericity index (%) | 87±5 | 83±9 | 86±8 | 80±10 |
| TA, tricuspid annulus. P <0.05 for all comparisons men vs women | ||||
Table 1. Normal values for TA parameters obtained using 4D Auto TVQ tool (unpublished data).
Potential clinical applications
Secondary or functional tricuspid regurgitation (FTR) is by far the most common cause of tricuspid valve (TV) dysfunction in the Western world, representing up to 90% of all causes of TV regurgitation. Severe FTR is associated with reduced survival, high surgical risk and excess rate of hospitalization(6). In the last decade, the rapid development of transcatheter TV interventions has offered a valuable alternative to surgery in patients with FTR and high or prohibitive surgical risk(7, 8).
TA dilation is the most important mechanism leading to FTR, the most important imaging parameter and the prime therapeutic target for surgical and interventional repair procedures.
TA dilation may develop as a consequence of either RV dilation and dysfunction or RA dilation(9). Although 2DE is the primary imaging modality to image the TV, its accuracy for quantitative analysis of TV apparatus is affected by numerous limitations. The measurement of the TA diameter by 2DE systematically underestimates the true largest size of the TA. Since in FTR patients the TA tends to dilate more in antero-posterior direction, the largest diameter is often not oriented in the septo-lateral direction shown in the 4-chamber (Figure 9)(10). Also, minor changes of the transducer position from apical 4-chamber to RVfocused view leads to different measurements of TA diameter(5). Only 3DE allows to obtain the 3D area and perimeter of the TA accounting for its complex non-planar geometry(3).
Figure 1. FTR in patient with pulmonary hypertension due to ischemic left-heart disease. A, PISA radius suggesting moderate FTR; B, TA diameter measured in 4-chamber view; C, TA diameter measured in RV-focused view; D, Quantification of TA geometry by 4D Auto TVQ tool; E, TA model in diastole showing the major axis (yellow line) with respect to the orientation of 4-chamber view plane (light blue dashed line); F, Quantitative semi-automated measurements of TA using 4D Auto TVQ tool showed that the largest diameter of the TA (Major Diast Axis) is 56 mm, significantly larger than any of the 2D diameters and also than the diameter measured in 4Ch by the tool (4Ch Diast Diameter 49 mm).
Furthermore, the dynamic tracking of the annulus area allows to identify the largest area during the cardiac cycle and avoids the errors related to arbitrary selection of measurement frame by the user.
Finally, the possibility to quantify the right ventricle volumes using 4D Auto RVQ from the same data set on which the 4D Auto TVQ analysis is done, is time saving and provides more accurate and reproducible results than the corresponding conventional parameters (diameters and areas of RV).
The more accurate characterization of right-sided structures by quantitative 3DE analysis allowed to better understand and to prove the major role of RA enlargement in determining TA size in atrial fibrillation (AF) as well as in healthy subjects and in different etiologies of FTR.
By semi-automated quantification of 3D annulus area and leaflet tenting volume, it clearly emerged that “not all FTRs are the same”, i.e. different etiologies of FTR are associated with variable extent of TA dilation, leaflet tenting, and right chamber remodeling(11).
Figure 1. FTR in patient with pulmonary hypertension due to ischemic left-heart disease.
In the setting of a symptomatic patient with severe FTR, all these imaging variables – annulus size, extent of leaflet tenting, size of RA and RV and RV function – are carefully weighted in the decision-making for choosing the best approach or device for valve repair. A TA antero-posterior diameter ≥36 mm and a tenting volume ≥2.30 mL independently predicted with 100%sensitivity and 84% specificity the presence of severe residual TR after surgical TV annuloplasty repair(12). Thus, for surgical candidates, the identification of a severe tenting of TV leaflets might prompt the surgeon to perform leaflet augmentation techniques in addition to annuloplasty or to replace the valve, as the annuloplasty alone might worsen instead of effectively treating the FTR (Figure 2) (13, 14).
Figure 10. Patient with severe symptomatic FTR (A) The qualitative (B, 3D rendering using Flexi-Light) and quantitative (C, 3D analysis using 4D Auto TVQ tool) evaluation of the TV by 3DE and CT annulus measurements revealed marked leaflet tenting and severe annular. Postprocedural follow-up showed a normally positioned and normally functioning device (D, biplane view E, 12-slice view) with only minimal residual intraprosthetic TR and no paravalvular leak (F).
Figure 2. Patient with severe symptomatic FTR
Conclusion
The novel 4D Auto TVQ is a tricuspid valvespecific analysis tool designed for the advanced semi-automated quantification of annulus and leaflets geometry from both transthoracic and transesophageal 3D data sets.
A better understanding of TV functional anatomy and FTR pathophysiology in different etiologies provides the basis for a personalized treatment approach and for performing more effective procedures to treat FTR.
How to use 4D Auto TVQ in clinical practice.
Patient selection
The quantification of TV using 4D Auto TVQ may be used as a complement to the standard guideline-recommended 2DE approach(2) in the following settings:
- Patients with functional tricuspid regurgitation (FTR) in whom the measurements of the TA and the leaflet tethering by 3DE may further clarify the main mechanism of regurgitation (i.e. predominant annulus dilation, predominant leaflet tethering or mixed), particularly if still unclear by 2DE. Example: normal TA diameter in 4-chamber view by 2DE with significant regurgitation and/or right chamber dilation, etc.
- Patients with functional tricuspid regurgitation (FTR) who
are candidates for left-sided valve surgery and in which the indication to perform TV repair is unclear, i.e. 2DE shows borderline values of TA around the upper limit of 40 mm (or 21 mm/m2) - Patients with functional tricuspid regurgitation (FTR) and asymmetric tenting in various 2DE views of the TV
- Patients with functional tricuspid regurgitation (FTR) who are considered for catheter-based interventional repair procedures or device implantation.
Acquisition of TV 4D data set
- Practical recommendations for obtaining optimal quality 4D data sets of TV either by transthoracic (TTE) or transesophageal (TEE) approach have been described elsewhere(3). The basic steps for acquiring a transthoracic 4D data set of TV are shown in Figure 1 (overleaf).
- For optimal apical images, use a dedicated scanning bed with apical cut-out, allowing to scan with the patient in a steep lateral position
- Start from the apical RV-focused view or, if not of sufficient quality, the parasternal RV inflow view
- Make sure there are no near-field artifacts in the RV cavity or dropouts of the TV leaflets, and use the Time-GainCompensation buttons if needed.
- Place the TV as close to the center of the 2D sector angle as possible
- Observe the quality of the images in 12-slice display while the patient breaths normally and check if the resolution of TV leaflets is further improved by respiratory maneuvers (i.e. in full inspiration, in full expiration, or in any intermediate respiratory phase in between expiration and inspiration)
- In sinus rhythm, a multi-beat acquisition using the maximum number of beats(6) provides the best quality in terms of spatial and temporal resolution. If not achievable, try reducing the number of beats to 4 or less. In atrial fibrillation with very irregular RR intervals, single-beat narrow volume with minimal depth (excluding large part of the right atrium) allows to achieve sufficient temporal resolution for quantification with 4D Auto TVQ.
- Care must be taken during acquisition to ensure that the complete TV annulus and all leaflets are included
- The recommended minimal volume rate, particularly for dynamic analysis, is at least 12 volumes per second. Even if the quantification using 4D Auto TVQ will be permitted, the results may be inaccurate when the tool is used on loops with a volume rate lower than 12 vps.
By TEE, the TV is usually best imaged from distal esophageal (proximal to the gastroesophageal junction) or transgastric views. Due to the orientation of the ultrasound beams relative to the TV leaflets, the former allows the best delineation of TV leaflets in closed position, while the latter in open position (during diastole).
Accordingly, depending on the imaging needs, it is often necessary to obtain multiple data sets from different probe positions in order to achieve the best results in terms of a complete highquality acquisition of the entire TV apparatus.
Notably, the annulus is easier to acquire than the thin TV leaflets, allowing its quantification using 4D Auto TVQ in the majority of cases.
TRICUSPID VALVE FOCUSED VIEW
TRICUSPID VALVE LEAFLETS IMAGE OPTIMIZATION FOR 3D ACQUISITION
TRICUSPID VALVE 3D DATA SET DISPLAY

Figure 3. Basic Steps for the Acquisition of Tricuspid Valve by Transthoracic 4D Echocardiography
4D Auto TVQ workflow description
The quantification of TV is performed in several steps:
- Select the 4D data set of the TV (TTE or TEE)
- Go to Measure – Valve folder and select 4D Auto TVQ
Preliminary steps: - Check the timing of end-diastole (ED) and end-systole (ES) (shown on ECG) depending on valve mechanics and, if needed, set them manually: select the correct ED frame → click Set ED; select the correct ES frame → Set ES (In general, ED is defined as the frame after TV closure, while ES is the frame just before TV opening)
- Adjust 2D Gain and 4D Gain for optimal visualization of TV in 4D rendering mode (upper left panel)
- Zoom to visualize the TV in greater detail.
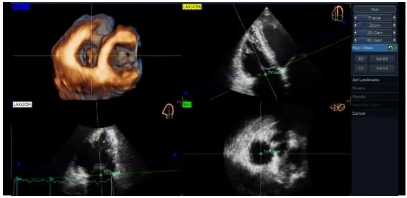
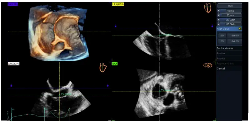
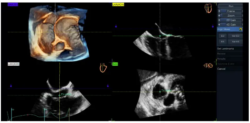
Align Views: - Place the TV center landmark at the center of TV annulus in both 4-chamber [LAX(4CH) – yellow] and the orthogonal view [LAX(2CH)) – white], as well as in the short-axis (SAX– green) view.
- Position the longitudinal axis of the RV to intersect the RV apex and the center of TV annulus in both 4CH and 2CH, as indicated in the miniature drawings shown in the right upper corner of each image
- The transversal green plane should be positioned at the TV annulus level, crossing approximately the leaflet hinges in each view (due to the saddle shape of the annulus, the plane position cannot be perfectly aligned with the 4 annulus points in both views simultaneously).
- The blue plane corresponds with the rendered SAX3D (upper left image) and it is generally recommended to be positioned on the ventricular side of the TV for TTE and on atrial side for TEE (Figure 3), close to the valve, to allow a proper visualization of the TV leaflet morphology and its spatial relationship with surrounding anatomic structures to facilitate the orientation of the user (Figure 4)

Figure 4. TV quad view showing the alignment of the views and planes with 4D Auto TVQ on a transthoracic TV data set
Figure 5. TV quad view showing the alignment of the views and planes with 4D Auto TVQ on a transesophageal TV data set
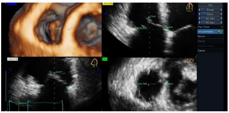
Set Landmarks: - Click Set Landmarks: the software shows the mid-systole as default reference frame (Ref Frame on ECG) for initializing the TV segmentation, which is automatically set half way between ED and ES frames. The user can then manually change the frame of interest.
On the chosen reference frame, place the following landmarks of TV on 4CH and then on 2CH:
Free Wall (lateral free wall annulus point) → Septum (septal annulus point) → Coapt (leaflet coaptation point) on 4CH, then → A (anterior annulus point) → P (posterior annulus point) on 2CH (Figure 5).
The last click will automatically run the segmentation process. N.B. In case of uncertainty regarding the orientation of A and P points, note the corresponding position (red dot) of the landmark on the rendered SAX3D image (Figure 6) or on the SAX view plane, i.e. if it is close to the RV posterior wall, the landmark should be the P and the other one close to the RVOT is the A.
Figure 6. Illustration of the identification of landmarks of the TV using 4D Auto TVQ tool on a transthoracic data set - Figure 7. Illustration of the identification of landmarks of the TV us ing 4D Auto TVQ tool on a transesophageal data set, where the identification of A and P is more challenging on the 2CH plane. In this example, one may note the position of the P landmark and the corresponding red dot either on the SAX3D (when the landmark is above to the TA plane, white arrow) and/ or on the SAX when the landmark is close to the TA plane.
If needed, the landmark position can be adjusted by touching the respective dot (the cursor will show a hand and the dot will become yellow, which will allow fine adjustments of the landmark) or the entire step can be done again after pressing the Undo button (yellow rounded arrow next to the Set Landmarks control).
Review: - The TV model is shown together with the automatically generated respective TV leaflet contours in the Ref Frame and the annulus points tracked throughout the cardiac cycle. Additional changes can be done, where necessary, in this step. Note that the 4 annulus landmarks are indicated in different colors on the TV model and the explanatory legend is displayed in the upper left corner for user orientation.
- Use the largest Pen Size to rapidly adjust the position of an entire leaflet. For fine adjustments of annulus points or small leaflet segments, use the smallest Pen Size.
- Use Undo and Redo buttons if you need to go backward or forward through the editing changes.
Results - Quantitative measures are shown in 3 different pages: Worksheet (summarizing the most used among annulus and leaflets parameters), Annulus (Figure 8) and Leaflets.

Figure 8. Annulus measurements menu using 4D Auto TVQ tool. - Display can be changed among various options: Biplane (default), Measurements (no images), 3D (showing both 3D model and measurements) and Dynamic (showing also the graphic of the dynamic changes of different annulus parameters).
- Show Rendering and Crop plane options display the 4D rendered image together with the TV model, shown in different orientations: 4CH (yellow), 2CH (white) or SAX (blue) (Figure 9).

Figure 9. TV annulus and leaflets model superimposed on the 3D rendered 4-chamber view and the quantitative measurements of the leaflet geometry. - In case of inconsistencies between the TV model and the TV leaflets or annulus detected at this stage, or irregular contours of TV annulus model, go to the previous Review step for additional editing. You will be able to rotate and adjust the planes to identify the region requiring adjustments and you can use the red dot and the colorcoded TA landmarks to help orientation.

Figure 10. TV annulus and leaflets model superimposed on the 3D rendered 4-chamber view on transesophageal data set.
Approve and Exit/Cancel - Saves the TV analysis in the Worksheet and creates a bookmark at the end of the exam, that allows to save all the postprocessing steps (not only the Results) for later review and changes
- Alternatively, the user has the option to Cancel the current analysis and to not save the measurements.
References
- Jørn Bersvendsen, Fredrik Orderud, Richard John Massey, et. al. Automated Segmentation of the Right Ventricle in 3D Echocardiography: A Kalman Filter State Estimation Approach. IEEE transactions on medical imaging, 2016; 35:42-51.
- Roberto M. Lang, Luigi P. Badano, Victor Mor-Avi et. al. Recommendations for Cardiac Chamber Quantification by Echocardiography in Adults: An Update from the American Society of Echocardiography and the European Association of Cardiovascular Imaging. J Am Soc Echocardiogr 2015; 28:1-39.
- Muraru D, Hahn RT, Soliman OI, Faletra FF, Basso C, Badano LP. 3 Dimensional Echocardiography in Imaging the Tricuspid Valve. JACC Cardiovasc Imaging. 2019;12(3):500 15.
- Mihalcea D, Guta AC, Caravita S, Parati G, Vinereanu D, Badano LP, et al. Sex, body size and right atrial volume are the main determinants of tricuspid annulus geometry in healthy volunteers. A 3D echo study using a novel, commercially-available dedicated software package. Eur Heart J Cardiovasc Imaging. 2020;41(Supplement_2):27.
- Addetia K, Muraru D, Veronesi F, Jenei C, Cavalli G, Besser SA, et al. 3 Dimensional Echocardiographic Analysis of the Tricuspid Annulus Provides New Insights Into Tricuspid Valve Geometry and Dynamics. JACC Cardiovasc Imaging. 2019;12(3):401-12.
- Chorin E, Rozenbaum Z, Topilsky Y, Konigstein M, Ziv-Baran T, Richert E, et al. Tricuspid regurgitation and long-term clinical outcomes. Eur Heart J Cardiovasc Imaging. 2020;21(2):157-65.
- Asmarats L, Puri R, Latib A, Navia JL, Rodes-Cabau J. Transcatheter Tricuspid Valve Interventions: Landscape, Challenges, and Future Directions. J Am Coll Cardiol. 2018;71(25):2935-56.
- Muraru D, Mihaila-Baldea S, Badano LP. Transcatheter Tricuspid Valve Replacement: Taking it One Step Further. J Am Coll Cardiol. 2019;73(2):158-60.
- Muraru D, Guta AC, Ochoa-Jimenez RC, Bartos D, Aruta P, Mihaila S, et al. Functional Regurgitation of Atrioventricular Valves and Atrial Fibrillation: An Elusive Pathophysiological Link Deserving Further Attention. J Am Soc Echocardiogr. 2020;33(1):42-53.
- Badano LP, Muraru D, Enriquez-Sarano M. Assessment of functional tricuspid regurgitation. Eur Heart J. 2013;34(25):1875-85.
- Muraru D, Addetia K, Guta AC, Ochoa-Jimenez RC, Genovese D, Veronesi F, et al. Right atrial volume is a major determinant of tricuspid annulus area in functional tricuspid regurgitation: a three-dimensional echocardiographic study. European Heart Journal Cardiovascular Imaging. 2020.
- Min SY, Song JM, Kim JH, Jang MK, Kim YJ, Song H, et al. Geometric changes after tricuspid annuloplasty and predictors of residual tricuspid regurgitation: a real-time three-dimensional echocardiography study. Eur Heart J. 2010;31(23):2871-80.
- Dreyfus GD, Raja SG, John Chan KM. Tricuspid leaflet augmentation to address severe tethering in functional tricuspid regurgitation. Eur J Cardiothorac Surg. 2008;34(4):908 10.
- Dreyfus GD, Martin RP, Chan KM, Dulguerov F, Alexandrescu C. Functional tricuspid regurgitation: a need to revise our understanding. J Am Coll Cardiol. 2015;65(21):2331-6.
- Navia JL, Kapadia S, Elgharably H, Harb SC, Krishnaswamy A, Unai S, et al. First-in-Human Implantations of the NaviGate Bioprosthesis in a Severely Dilated Tricuspid Annulus and in a Failed Tricuspid Annuloplasty Ring. Circ Cardiovasc Interv. 2017;10(12).
©2021 General Electric Company. All rights reserved. GE, the GE Monogram, and Vivid are trademarks of General Electric Company. GE Healthcare, a division of General Electric Company. Third part trademarks are the property of their respective owners. JB03442XX



























