ZEISS CLARUS 500 Fundus Camera Medical Technology User Guide
Inductions

CLARUS™ 500 from ZEISS allows clinicians to easily review and compare high-quality images captured during a single session, as well as manage disease over time by providing annotation and measurement tools that allow in-depth analysis of eye health. Analysis results can be reviewed on the instrument or your computer using the review software.
With a single capture, ZEISS CLARUS 500 produces a 133˚ image with 7 µm resolution. HD ultra-widefield images are automatically merged to achieve 200˚ field of view*.
This guide explains
- Analysis
- Overview of imaging modalities
Analysis
You can use the analyze screens to view, compare and annotate images. Use the Proof Sheet (Figure 1) to browse through all available images for a single patient and to select images for review. You can filter images by exam date, laterality, scan type and/or favorite status.
Figure 1
On the Review Screen (Figure 2), you can view up to 16 images at once. You can also create montage images from up to six selected images. Annotations can be added to any image or montage, and can be copied, edited or deleted as needed. Manual measurements can be drawn anywhere on the image or montage to measure length and area.
Review Screen functionality
1 | Number of view ports | 5 | Proof sheet |
| 2 | Editing toolbar | 6 | Patient management screen |
3 | Sort function | 7 | View ports |
| 4 | Selection bin | 8 | Advance arrows |
Overview of imaging modalities
ZEISS CLARUS 500 has a range of modalities to guide your clinical assessments. This section will introduce you to the different types of images.
True Color
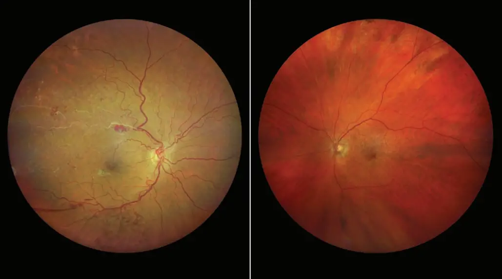
ZEISS CLARUS 500 produces images that closely resemble the coloration of the fundus as seen during clinical examination. Color accuracy aids in the diagnosis and documentation of ocular disease and ensures confidence when evaluating the optic disc, nevi and lesions in which subtle color differences may lead to a change in diagnosis and management.
RGB Channel Separation
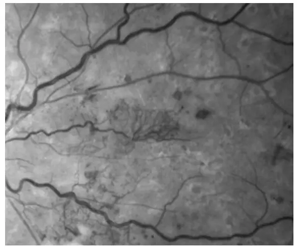
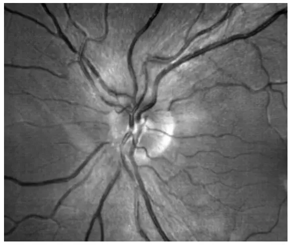
True Color images can be separated into red, green and blue channel images, which can enhance the visual contrast of details in certain layers of the retina. Red channel images reveal the choroid in more detail. This may be helpful in visualizing choroidal lesions such as nevi or tumors. Green channel images provide excellent contrast of the retina, especially of vasculature and hemorrhages. Blue channel images increase visibility of the anterior retinal layers, allowing easier visualization of retinal nerve fiber layer (RNFL) defects and epiretinal membranes.
- True Color image of a healthy eye.

- Red channel image of a choroidal nevus.

- Green channel image of diabetic retinopathy.

- Blue channel image of the RNFL of a healthy eye.

Fundus Autofluorescence (FAF)
Fundus autofluorescence images allow clinicians to visualize lipofuscin fluorescence in the retinal pigment epithelium (RPE), an indicator of RPE health. Healthy RPE appears as a uniform gray color on FAF images. In general, hyper-auto fluorescence (bright) indicates RPE damage, and hypo autofluorescence (dark) indicates dead or absent RPE. FAF-Blue images have been shown to reveal early RPE disruption in macular degeneration and predict progression of geographic atrophy. FAF-Green images may be less affected by media opacities such as nuclear sclerotic cataracts.
Infrared (IR)
Infrared light is used to capture these images with the unique property of increased penetration through tissue, providing improved visualization of choroidal structures. Deeply pigmented structures absorb infrared wavelengths, resulting in a darker appearance.
External
High-resolution external eye images allow for documentation of ocular surface and adnexa conditions such as corneal ulcers.
- Fundus autofluorescence-Blue (FAF-Blue) image of geographic atrophy.

- Fundus autofluorescence-Green (FAF-Green) image of dry age-related macular degeneration.

- Infrared (IR) reflectance image of a healthy eye.

- External eye image.

Images and diagnoses courtesy of Roger Goldberg, MD, Jesse Jung, MD, and Michael H. Chen, OD**.
** The diagnoses provided by the healthcare professionals reflect only their personal opinions and experiences and do not necessarily reflect the opinions of any institution with whom they are affiliated. The healthcare professionals credited in this interpretation guide have a contractual relationship with Carl Zeiss Meditec, Inc., and have received financial compensation.
Support
en-INT_31_020_0023I CZ-XII/2021 International edition: Only for sale in selected countries.
The contents of the brochure may differ from the current status of approval of the product or service offering in your country. Please contact our regional representatives for more information.
Subject to changes in design and scope of delivery and due to ongoing technical development. CLARUS is either a trademark or registered trademark of Carl Zeiss Meditec AG or other companies of the ZEISS Group in Germany and / or other countries.
© Carl Zeiss Meditec AG, 2021. All rights reserved.
0297
CLARUS 500
Carl Zeiss Meditec, Inc.
5300 Central Parkway
Dublin, CA 94568
USA
www.zeiss.com/us/clarus
www.zeiss.com/med
Carl Zeiss Meditec AG
Goeschwitzer Strasse 51–52
07745 Jena
Germany
www.zeiss.com/clarus
www.zeiss.com/med/contacts



























