Tecnoscan BL
Instruction manual

Power button (A)
- To switch on/off the scanner press and hold until it beeps.
- Short press to freeze the image.
- If on a congested Wi-Fi channel, double press to change the channel when no viewing devices are connected.
Up button (B)
- Adjust gain.
- Save videos.
Down button (C)
- Adjust depth.
- Save images.
1.1 Scanner menu

Once the gain or depth is visible, pressing the “Power Button” will select that setting. Use the Up and Down buttons to adjust the selected settings.
1.2 Saving images and videos using the scanner buttons
Freeze the image using “Power button” Press “Up” will bring up “Save Cine”.

Freeze the image using “Power button” Press “Down” will bring up “Save Image”.
Once the desired option is visible, pressing the Power Button will select that option. Note: The scanner will store the last 300 frames (1012.5 seconds depending on the selected scan depth) in its internal memory. To store on the scanner, the scanner must be Frozen. During save, particularly cine save, the app will pause while frames are downloading and saving the data while scanning. It is recommended that you save images and videos directly from the app where possible. The cine loop must be downloaded by the app before switching off, otherwise, it will be lost. The scanner can store up to 100 images in its internal memory, these images are retained after power off and can be downloaded by the app at a later time.
LED sequence

| POWER LED | |
| Blue flashing | Scanner turning on |
| Blue | Scanner on and battery between 66-100% charge |
| Yellow | Scanner on and battery between 33-66% charge |
| Yellow flashing | Scanner on and battery between 0-33% charge |
| WI-FI LED | |
| Blue flashing | Scanner ready for smart device to connect, nothing connected |
| Blue | Smart device connected |
| BOTH LEDS | |
| Yellow flashing | Software updating |
Activation
3.1 First-time use
Download the Tecnoscan Connect from Google Play or the App Store.
You are likely to be prompted for a scanner software update on first-time use. Please see the Scanner Update section.
To activate the scanner, ensure that the scanner is charged and that you have a local Wi-Fi internet connection. This is only necessary the first time you connect the scanner.

After a few seconds, the ultrasound image will appear. Touch anywhere on the screen to bring up the live scanning menu.
Note: If the Wi-Fi LED is flashing on the scanner it is not connected to any smart device.
3.2 Normal start up process
Switch on the scanner and wait until the Wi-Fi LED illuminates. Launch Tecnoscan Connect App. App requests to connect to the scanner.
- Select your Tecnoscan BL from the Wi-Fi page. Return to the App.

- It can take up to 10 seconds to connect and start receiving an ultrasound. You are now ready to scan.
3.3 Scanner Updates
The app automatically checks the Tecnovet license server for scanner software updates when connected to Wi-Fi.
After connecting to a Tecnoscan BL, you may be prompted to update the scanner software. The scanner will only update if the battery is above 50% charge.
Press OK or Cancel. Pressing OK will cause the scanner LEDs to flash yellow – the scanner will take roughly two minutes to update. Press cancel if you wish to update later.
Once the update is finished the scanner will switch off. The scanner software version number can be checked in the User Settings section.

Tecnoscan Connect
4.1 Live scanning

- Change the channel in Wi-Fi settings. No indicator: clear channel on the 5GHz band. This is the recommended state. White indicator: clear channel, but is on 2.4GHz band, it is more prone to interference. Orange/red indicator: channel has other networks or scanners on it. This is likely to cause interference issues.
4.2 Main menu
To enable frame averaging, touch the icon. To change the number of frames being averaged, touch the icon (each touch increases the number of frames up to 4 then returns to 2). To disable frame averaging, long-press the icon.
Frame averaging combines the current frame with the previous 2, 3, or 4 frames, this produces a smoother image with less noise, but at the cost of blurring when the probe is moving quickly.



Note: Touch in the text area to type, up to 4 lines of text may be entered and will appear as red text with may be dragged to a preferred location. This text will be present on any saved images.
Callipers![]()

Cattle![]()
Note: Use your finger to move the cursors.

Gestational measurements available
| Crown-Rump length (distance from the top of the skull to the end of the body) | Trunk diameter (width of the ribcage at the widest part) | Eye diameter (diameter of the eye socket) | Head diameter, (width of the skull at the widest point) | Head length (distance from the top of the skull to the end of the nose) |
| 14mm – 180mm, 33 – 76 days | 14mm – 123mm, 53 – 133 days | 3mm – 28mm, 62 – 241 days | 14mm – 86mm, 55 – 135 days | 21mm – 146mm, 56 – 134 days |
Sheep![]()
| Head diameter (width of the skull at the widest point) 19mm – 66mm | Trunk diameter (width of the ribcage at the widest part) 14mm – 101mm |

Horse
| Eye diameter (diameter of the eye socket) 9mm – 35mm | Equine Conceptus diameter (diameter of the embryo) 14mm – 75mm |

Freedraw![]()
Touch and drag to draw on screen can be used to make simple annotations or to highlight areas of interest. Any measurements placed on-screen remain visible.


To enable meat quality, touch the icon, to disable, touch the icon again.
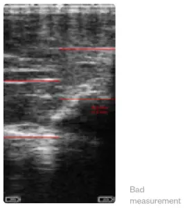
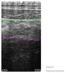
When in meat quality mode the app will automatically find the fat/muscle boundary and the reflection of the rib and draw horizontal lines at both interfaces.
The gain control becomes a sensitivity control, with the sensitivity at minimum, the app looks for the strongest reflection, with the sensitivity at maximum, it uses a mixture of the average value and the maximum, which can compensate for a poor or noisy image.
The fat thickness is the distance from the probe face to the fat line and the meat thickness is the distance between the fat line and the rib line.
If the app considers the measurements to be good, then the fat line will be green and the rib line purple, if not, then the lines will be red.
![]()
4.2.2 Meat Quality

![]()
4.3 Settings




Usage files
The app will generate usage files. Events logged:
- Images saved – time and date, scanner serial number and location (if permitted)
- Connecting to a scanner
- Freeze and unfreeze
- Entering and exiting standby mode
Factory reset
A scanner can be reset to factory firmware settings in the unlikely event the scanner fails. Hold down Power and Down until both LEDs glow yellow and release.
This will take a few minutes and the scanner will then switch off – removing the license from the scanner.
Charging
The battery can be charged in the charging dock, powered by a standard outlet. It can also be connected in the carry case for in-car charging.
LED sequence
| One blue flashing | Charging, charge level below 33% |
| First LED solid blue A second LED lashing blue | Charging, charge level below 66% |
| First and second LEDs are solid blue, the third LED flashing blue | Charging, charge level below 100% |
| All LEDs solid blue – fully charged. | Fully charged |
| All LEDs flashing yellow | Temperature is too high (more than 45 Celsius, 113 Fahrenheit) for safe charging |
| All LEDs flashing blue | Temperature is too low (less than 0 Celsius, 32 Fahrenheit) for safe charging. |

A fully discharged battery should be fully charged within 5.5 hours. While in a good condition, the battery run time will be 5 hours (assuming 50% idle time between scans).
Scanner will enter low power mode when idle. The Li-ion cells used in the battery pack do not suffer from the ‘Memory effect’. For optimal battery longevity, avoid letting the battery run completely down and recharge at approximately 20 Celsius/68 Fahrenheit. Electrical connection to the power pack is through the gold pads on the battery and scanner. Power pack output is protected but care should be taken to prevent short-circuiting the gold connector pins and pads.
Warning:
To reduce the risk of burns, fire, electric shock, or injury to persons an appliance should never be left unattended when plugged into mains or 12 V cigarette lighter.
Care & maintenance
Please note the following important points:
The unit is not sealed against jets of water. Water will penetrate your scanner if it is hosed down or rinsed under a fast-flowing tap.
- The unit is NOT corrosion-proof and thus it should not be left wet. Take care to detach the external battery and ensure interconnect areas are dry also.
- The battery charger and charging carry case is not waterproof – avoid getting them wet.
Probe
While every attempt has been made to make the probe as rugged as possible the crystal array remains vulnerable and should be protected from knocks. The probe has a protective sheath covering the length of the cable subject to wear and flex. Any damage to this sheath or the rest of the cable should be repaired before further use to prevent moisture ingress that will rapidly damage the probe. The probe should be checked regularly for such damage.
Cleaning
The scanner, battery, and probe can be wiped down with an antibacterial wet wipe, reducing the need for drying. This prevents problems relating to corrosion following wash-down.
The scanner and power pack can also be cleaned using a cloth, soap, and warm water. Sponging down or even brief, shallow submersion is less aggressive than rinsing or hosing down.
Warning: The scanner and power pack must not be stored damp – severe corrosion will result. Thoroughly dry the scanner before storage and charging. Take care to detach the external power pack and ensure interconnect areas are dry also.
Gels
Use only gels recommended by Tecnovet. Do not store the probe in gel.
Storage
Clean and dry the probe head prior to storage in a dry location. Do not store the transducer in gels or cleaning/disinfecting solutions. This will lead to premature deterioration of the probe. Do not expose the transducer to materials containing the following agents:
- Acetone
- Methanol
- Mineral oil
- Iodine
- Freon
- Industrial cleaners
- Materials containing perfumes (lotions, gels, etc.)
Warning:
Never sterilize the transducer with autoclave, ultraviolet, gamma radiation, gas, steam, or heat sterilization techniques. Severe damage will result.
Specifications
| Size | 19×8.3×6.2cm 7.5 x 3.25 x 2.4 in |
| Weight | 800g/1.76lbs |
| Mechanical | Rugged Glass-filled |
Polypropylene casing with TPE over mould.
Scanner operating frequency bands: B1=2412MHz2462MHz and B2=5150MHz-5250MHz
Maximum radio-frequency power transmitted in the frequency bands: 16.1dBm for B1 and 18dBm for B2.
User Output
Scanner wireless link to the compatible viewing device using Sound-Link over standard WI-FI connection. Image and video storage Storage of images and cine loops is limited only by available space on a smart device linked with the scanner.
Probe
Broadband straight linear rectal
Active array length 64 mm
Frequency range 4.5 to 8.5 MHz
3 user selectable depths of scan: 6cm, 8cm, 12cm
128 element crystal array.
Power and charging
Removable Li-ion battery gives 5h runtime *
Battery charge time 5.5h. Only use Tecnovet approved/supplied battery, 12V vehicle power supply, battery charger, and DC power adapter.
ESG-CHARGER: Input: 12V, 2A / Output: 4.2V, 2A.
Tecnovet Vehicle Power Outlet/Cigarette Plug Cable
(Model: ACC-DC LEAD):12VDC, 2A Fused.
Only to be used when charging from a vehicle supply.
Only replace a fuse with 2A medium acting fuse rated to
125V, 10kA breaking capacity (F2A M125V).
DC Power Adapter (XP Power, Model: VEP24US12):
Input: 100-240VAC, 0.6A/Output: 12VDC, 2.0A
Battery (Model: ESG-BATT): 3.6Vdc, 6700mAhr. Scanner will enter low power mode when idle.
Temperature range
Scanner: -10 Deg C to 45 Deg C *.
Battery Charge: 0 Deg C to 35 Deg C *
Battery Charger has under and over-temperature
protection and LED status indication.
Warning:
If the equipment is used in a manner not specified by the manufacturer, the protection provided by the equipment may be impaired.
- Best charged at 25 Deg C, frequent charging at 35 Deg C / 95 F may shorten battery lifetime.
Warranty
Tecnovet warrants Tecnoscan BL against defects in materials for one year from the date of purchase. Tecnovet does not warrant against normal wear and tear,
Smart devices compatibility
Android:
Minimum version: Kit Kat (Android V4.4) Minimum
RAM: 2Gb
Minimum Processor: Quad-Core 1.8GHz
Recommended WiFi: 802.11 a/ac (5GHz band)
Apple:
Minimum version: iOS 8
Minimum iPhone version: iPhone 5s Minimum iPad
version: iPad4
Hereby, Tecnovet SL, declares that the radio equipment type Tecnoscan BL is in compliance with Directive 2014/53/EU. The full text of the EU declaration of conformity is available at the following internet address: https://www.imv-imaging.com/esg-doc/
This device complies with part 15 of the FCC Rules. Operation is subject to the following two conditions: (1) This device may not cause harmful interference, and (2) this device must accept any interference received, including interference that may cause undesired operation of the device.
If the user makes any modifications not expressly approved by the party responsible for compliance it could void the user’s authority to operate the equipment.
This device complies with Industry Canada’s license-exempt RSSs. Operation is subject to the following two conditions: (1)This device may not cause interference; and (2) This device must accept any interference, including interference that may cause undesired operation of the device.
Contains IC4511-WL18DBMOD

Note: All Tecnovet products are for animal applications only.
The product shall not be used outside its scope as declared by the manufacturer.
Tecnoscan BL: Instruction Manual
Switch on the scanner and wait until the Wi-Fi LED illuminates. Launch Tecnoscan Connect App. App requests to connect to the scanner.




















