
Opalescence Boost PF 40%-In-Office Power Whitener
User Guide
To mix, follow these instructions.

Confirm that the syringes are securely attached.
Depress the small clear plunger (A) into the middles mall clear syringe (B) to rupture the internal membrane and combine the whitening agent and activator. Press the plunger of the red syringe into the larger clear syringe.
Press the contents of the clear syringe back into the red syringe. Thoroughly and rapidly mix the contents by pushing back and forth continually a minimum of 50 times (25 times each side).

Press all mixed gel into the RED syringe and separate the two syringes.

Attach the Black Mini™ tip onto the red syringe.
Verify flow on a cotton gauze or mixing pad prior to applying it intraorally. If resistance is met, replace the tip and recheck the flow.
TECHNIQUE GUIDE

Place protective eye ware and clothing on yourself and the patient to prevent contact with whitening agent. Check to see that the syringes are securely attached before mixing. To mix, follow the instructions on the reverse side.
Press all mixed gel into the RED syringe.
Separate the two syringes and attach the Black Mini™ tip or other recommended tip onto the red syringe. Check the flow on a cotton gauze or pad prior to applying it intraorally. If resistance is met, replace the tip and recheck the flow.

Place Ultradian IsoBlock™ self-supportingcheek retractors or the Umbrella™ tongue, lip, and cheek retractor. Completely rinse and air dry teeth and gingiva.

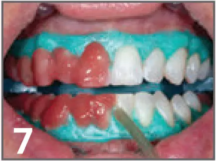
Securely attach a Black Mini™ tip to Opal Dam™ Green resin barrier and check flow. Express a continuous bead along the gingival margin, overlapping approximately 0.5 mm onto the enamel. Begin and finish the bead one tooth beyond the most distal tooth that is being whitened. Express the resin through any open embrasures.
Light cure the Opal Dam Green resin barrier for 20 seconds per arch using a scanning motion. Check the resin cure with an instrument using caution not to disrupt the seal.
Apply a 0.5–1.0 mm thick layer of gel to the labial surface of the teeth. Allow the gel to remain on the teeth for 20 minutes per application.
Suction gel from teeth using the Leer Vac and SST™ (Surgical Suction Tip) or any surgical suction tip. To avoid gel splatter, do not use water while suctioning gel. When no gel is visible, lightly rinse and air dry. Use caution not to dislodge the isolation barrier or rubber dam seal.

After the final application is complete and all visible gel is removed, thoroughly rinse teeth with an air/water spray and the high volume suction.

Gently slide the tip of a dental instrument beneath the Opal Dam resin barrier and lift it off. Check for and remove any interproximal remnants.
Evaluate the shade change. If additional whitening is desired and no significant sensitivity is noted, reschedule the patient in 3–5 days for repeat treatment or dispense take- home whitening treatment.
For professional use only.
© 2021 Ultradian Products, Inc. All rights reserved. 1007074AR04 042621
ULTRADENT.COM
800.552.5512



















